智东西(公众号:zhidxcom)
文 | 心缘

百年医疗设备巨头GE医疗,正在纷至沓来的数字化和智能化浪潮中,尝试讲好新的故事。

就在3月初,应国内疫情之需,GE医疗推出了由针对新冠肺炎的CT影像智能分析平台技术——“智赢新冠LK 2.0”。

这一平台由GE精准医学院团队自主研发,基于影像基因组学原理,结合人工智能(AI)和图像处理等技术,用于科学研究,辅助早期、疑似新冠肺炎的精准分析。

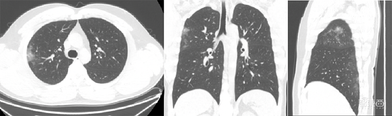
据武汉大学中南医院影像科主任徐海波介绍,新冠肺炎的病变特征在临床预判上与以往有很大不同,对于轻重症病情很难仅通过胸片看出差别,因此CT影像作为首选诊断依据至关重要;在病程进展期到重症期阶段,也很难通过单次影像界定病灶的实际变化差异,因此进行CT影像学的动态观察也非常重要

“看到大量片子后,医生都很疲惫。”吉林大学白求恩第一医院放射线科主任张惠茅说,“目前结果显示,AI在肺部病变筛查、定量评估、对比疾病变化等方面有很好的效果。”

GE医疗推新冠病毒AI平台!解读背后的硬核技术▲GE医疗中国总裁兼CEO张轶昊(中)、GE医疗中国首席市场营销官阎华(左)、GE医疗中国诊断药物业务总经理戴红东(右)出席发布会

一、升级三大方向,更快检出新冠病毒

智赢新冠LK 2.0平台可提供针对新型冠状病毒感染肺炎呼吸道(气管与支气管)和肺部病变检出,克服单纯分析肺部组织病变的局限性。

在智能化、可视化和定量化影像组学方法的辅助下,以肺部病变为核心的智能化分析平台,能为新冠肺炎早期、准确和快速的诊断提供高通量的定量CT影像信息。

另一方面,以AI技术为核心的全肺/肺叶/病变分割系统,极大提高用户科研工作效率,降低不同医师之间主观评估的差异性,提高精确度。

该平台还有助于疑似患有肺部病变 (肺炎性病变、肺损伤、肺纤维化和肺占位病变等) 的患者进行分析检测,为确诊患者疗效评估提供定量化参考信息。

这些成绩,来源于GE医疗根据新冠肺炎需求,对LK 1.0平台所做的针对性升级。此前LK1.0主要针对的是肺结节、普通肺炎和肺损伤等病种。

历时一个月,在20多位化学、影像学、临床、数学的博士和近10位AI科学家和工程师的共同努力下,智赢新冠LK 2.0对科研痛点逐一击破,针对新冠病毒特性重点优化了三个方向:

1、对于早期无症状病患和不易发现的新冠病灶,GE医疗将AI分析范围拓展到了气管、支气管部分,帮助肺部无明显形态学改变的病例,进行早期病灶识别。

2、对于新冠中后期复杂病变,平台可对肺叶进行快速智能化分割,精准定位病灶和定量评分;结合AI深度学习建模,进一步评估疾病进展、反映病变体积与分布,分析弥漫性病变,预测病情走势。

GE医疗推新冠病毒AI平台!解读背后的硬核技术▲3D显示病灶(红色区域)和病灶定量和评分分析

3、对于激增的新冠病患数据,平台可对不同型号的CT进行数据规范化处理,同时进行批量快速读片处理。

此外,GE医疗已与医疗机构一起在世界顶尖的放射学杂志Radiology发表了两篇论文,致力于研究新冠肺炎在CT影像中的早期识别。

今年,GE医疗将在LK 2.0平台的基础上与15家医疗单位合作,预计到3月底还将发表15篇SCI和国际期刊论文。

二、新冠肺炎AI平台背后的硬核技术

从智赢新冠LK 2.0的技术布局来看,基本始终围绕着科研工作者的三个核心诉求:快速、好用、可靠

1、快速:强大的处理性能和效率

LK 2.0支持GPU并行加速计算和数据批量处理,提高系统的运行效率,能在极短时间内完成分割任务,快速进行肺部病变的提取、定量和对损伤度评分。

2、好用:专业的科研辅助模块

LK 2.0搭载影像组学纹理特征提取模块、数据统计处理模块,为用户科研提供一站式解决方案。

特征提取模块拥有上千个可供选择的纹理特征,用户可自主选择提取不同特征组合;统计处理模块搭载易上手数据处理软件(IPMs),轻松完成SCI级别的结果与图像输出。

3、可靠:五步核心技术实现精准医疗

1)图像标准化系统:提供胸部CT图像预处理,确保数据标准化和规范化,辅助提高图像质量。其功能包括:图像裁剪、图像重采样、图像滤波、图像质量恢复、图像标准与归一化。

GE医疗推新冠病毒AI平台!解读背后的硬核技术▲预处理后CT图像(横、冠和矢状面)

2)自动分割系统:结合深度学习和传统方法,通过解剖结构分割、肺部炎性病灶分割、肺结节自动分割等方式,更快提取病灶并进行更精准的定量分析。

GE医疗推新冠病毒AI平台!解读背后的硬核技术▲分割肺叶

3)肺结节检出:利用深度学习模型,自动快速完成肺结节的检出和鉴别分析。

4)肺部炎性病灶检出:精准快速分析新冠病毒肺炎疑似病例,特别是CT图像无形态学改变时的早期和轻症分析。

5)影像组学和影像基因组学技术:自动提取病变区域特征,组学特征三维可视化显示,提供肉眼无法发现的分子水平特征,可加速对于肺部复杂病变的鉴别(分类)、疗效评估、预后复发及生存期分析等方向的研究。

三、仅用于科学研究,落地还需长期积淀

作为全球领先的医学成像、监护、数字医疗技术提供商,GE医疗在数字化创新的道路上底气十足,即布局了完整的医疗产品线,又每年投入超10亿美元的研发资金,并且积累了雄厚的医疗资源:在全球拥有超过400万台在役设备、全球GE医疗影像诊断设备每年开展检查超过20亿次、在中国市场每年开展检查超9亿次。

但在推进新冠肺炎CT影像智能分析平台技术研究时,GE医疗的态度相当谨慎:智赢新冠LK 2.0平台仅用于科学研究,不能用于临床诊断。

这是因为,无论是学术界还是产业界,对新型冠状肺炎的认知仍然有限,相关产品需经进一步的探索与打磨。

当前GE医疗可视化影像基因组学技术可用于区分普通肺炎等其他病变,但是这种病变差异判断标准还需要更多的单位来参与研究和验证。

吉林大学白求恩第一医院放射线科主任、中放医学影像与人工智能工作委员会主任委员张惠茅指出,打造真正落地的AI产品非常有挑战性,AI产品是多行业共同合作的成果,场景、数据、算法、算力四大要素缺一不可,每一款产品的灵魂是临床医生的实际需求,“想打磨一款真正符合临床需求的AI产品,是一个长期积淀的过程。”

上海长征医院影像医学科主任、中国医学影像AI产学研联盟主席刘士远教授表示:“希望AI可以从研发源头定义识别标注数据、建立更标准的数据库、创建新的算法这三个方面继续发展,也希望能由更多医生加入进来,提供更多病例,病例越多,数据迭代就更多,科研就更有希望成功。产学研一起努力,未来这项AI技术不仅可用于新冠,也能用在所有肺部炎症的判断。”

GE医疗推新冠病毒AI平台!解读背后的硬核技术▲中国医学影像AI产学研用创新联盟理事长刘士远、吉林大学白求恩第一医院放射线科主任张惠茅、武汉大学中南医院影像科主任徐海波共同出席线上发布会

四、抗疫前线,GE医疗的组合兵法

智赢新冠LK 2.0平台,只是GE医疗应对新冠肺炎疫情所需提供的解决方案之一。自疫情发生以来,这家百年医疗设备巨头,从捐助物资到供应设备都做了很多贡献。

疫情期间,GE捐助了价值2000万人民币医疗物资及现金,其中由GE医疗捐赠的价值1000万元人民币的监护仪和超声设备已全部交付给武汉当地政府指定机构,其中500万元用于医疗物资采购,500万元用于补助湖北省地区抗疫中感染疫病的医疗人员子女。

抗击疫情,时间就是生命。面对暴涨的医疗设备需求,GE北京和无锡的工厂紧急生产超过千台疫情急需医疗设备,运往武汉和各个地区。这也是GE史上第一次采用包机运输设备与零部件,往返于欧洲、北京、芝加哥,确保中国疫情医院CT、超声等产品及零部件的供应。

面向收治新型肺炎患者的武汉定点医院,GE医疗几乎在疫情爆发的第一时间火速行动,免费提供了3台移动X光机、8台超声和8台呼吸机,供医院应急使用。

此外,GE医疗为火神山雷神山医院提供了两台GE的深度天眼CT、50多台便携超声和30多台监护仪。

深度天眼CT基于独有的AI自动定位,可隔室操作CT远程扫描和诊断,既避免医生和患者的直接接触,又大幅减少手工操作,单个患者可节省30%的扫描时间,检查效率明显提升。

在武汉协和医院和武汉金银潭医院,GE医疗首款急危重症超声Venue已在隔离病房内投入使用,为重症科室医生提供快速及时的高清影像诊断协助。

与此同时,GE医疗为武汉19家方舱医院提供了近200台监护仪和20台“诺亚1号”移动一体式CT检查室。

诺亚1一体式方舱CT检查室为方舱医院度身定做,装机快、可移动、可远程,并配备数字化扩展功能。它能8秒完成危重症患者的全肺检查,扫描速度是传统16CT3倍,扫描剂量也大幅降低。

逾千台GE医疗监护仪正在支持湖北各大医院,助力医护人员远程观察操作,在加速诊疗之余,竭力保障医护人员的安全。

其售后服务部门同样在第一时间开通400客户服务热线特殊通道,为收治新型肺炎病患的医院做优先处理,为医院进行远程预警和维修,时刻保证设备正常运作,并发起 “百日关爱” 活动,无偿为十二个省份客户提供CT/MR设备远程支持服务。

结语:AI大数据正改写医疗行业

智赢新冠LK 2.0平台,既是精准医学的成果,也是GE医疗中国本土化、数字化战略支持中国抗疫行动的进一步升级,更是全球医疗数字化、智能化进程的一个缩影。

此次疫情期间,大数据和人工智能等新兴技术,展示出提高早期诊疗效率、缓解医护人员压力、加速优质医疗资源普及等多重价值。

而从长远来看,智慧医疗绝非一时噱头,随着前沿技术与实际医疗场景更深度地磨合,自动化与智能化将成为助力未来医疗行业发展的重要动能。